Definition : teleradiology
Main Entry: tele•ra•di•ol•o•gy
Pronunciation: "tel-&-"rAd-E-'äl-&-jE
Function: noun
Inflected Form: plural -gies
: radiology concerned with the transmission of digitized medical images (as X rays, CT, MRI scans and sonograms) over electronic networks and with the interpretation of the transmitted images for diagnostic purposes
 
 
August 2005 - Colloid Cyst

Monthly Cases

 

 

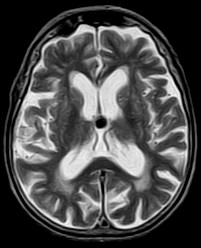
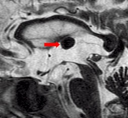
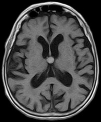
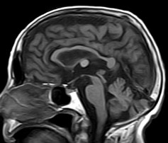
Colloid cysts are benign, epithelial lined lesions, usually located antero-superior to the third ventricle (between the columns of the fornices). They supposedly originate due to an infolding of the neuroepithelium. These cysts may also occur in the choroid plexus of the lateral ventricles, subarachnoid space and brain parenchyma. They comprise approximately 2% of all glial neoplasms. Patients may present with headaches, sudden transient paralysis of both lower extremities, urinary incontinence, personality changes and/or dementia.
 

  • On MRI

     

    • These lesions may be either hypointense or hyperintense on either T1W or T2W images. The variability is due to it's contents. They may contain mucoid material, blood/hemosiderin, macrophages, cholesterol crystals, CSF and various ions (Na, Mg, Ca, Cu, Si, Al, Fe, P). 

    • Occasionally they may contain serous fluid and follow CSF signal characteristics.

    • The lesions are thin walled and peripheral enhancement is common.


Copyright © 2008 Scanris, LLC.  All rights reserved
Terms and Conditions | Privacy Statement