Definition : teleradiology
Main Entry: tele•ra•di•ol•o•gy
Pronunciation: "tel-&-"rAd-E-'äl-&-jE
Function: noun
Inflected Form: plural -gies
: radiology concerned with the transmission of digitized medical images (as X rays, CT, MRI scans and sonograms) over electronic networks and with the interpretation of the transmitted images for diagnostic purposes
 
 
December 2005 - Craniopharyngioma

Monthly Cases

 

 

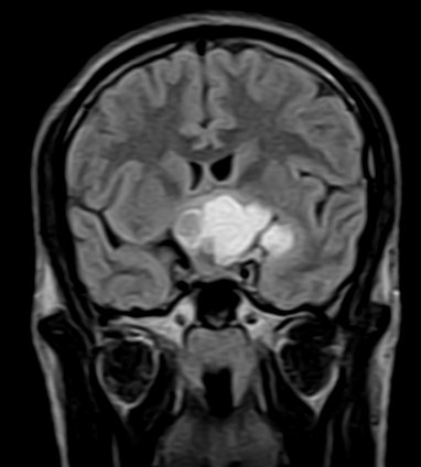
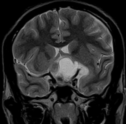
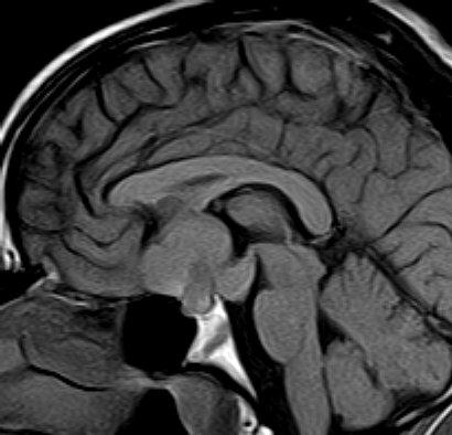
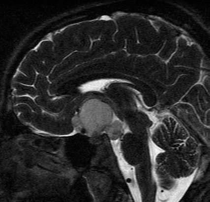
There is evidence of a lobulated extra-axial mass lesion in the suprasellar cistern. The lesion is predominantly hyperintense on the T1W images and heterogeneously hyperintense on the T2W and FLAIR images. The optic chiasm, proximal optic nerves and the pituitary stalk cannot be identified separately from this lesion. However, the pituitary gland is well identified.  

Craniopharyngiomas are epithelially derived neoplasms that usually occur in the suprasellar cistern. Occasionally they occur in the sella or in the third ventricle.  They constitute approximately 3% of all intracranial tumors and show no sex predilection. Craniopharyngiomas are hormonally inactive lesions. 50% of these lesions occur in childhood or adolescence, with a peak incidence between 5 and 10 years of age. A second smaller peak is seen in the sixth decade. Patients may present with headaches and/or visual disturbances. The lesions usually exhibit a heterogeneous appearance with presence of a cystic and/or solid component. It may be hyperintense on both T1W and T2W images. The lesions may encase nearby cerebral vasculature. The solid portion may be calcified. On contrast the solid portion usually enhances.

  


Copyright © 2008 Scanris, LLC.  All rights reserved
Terms and Conditions | Privacy Statement