Definition : teleradiology
Main Entry: tele•ra•di•ol•o•gy
Pronunciation: "tel-&-"rAd-E-'äl-&-jE
Function: noun
Inflected Form: plural -gies
: radiology concerned with the transmission of digitized medical images (as X rays, CT, MRI scans and sonograms) over electronic networks and with the interpretation of the transmitted images for diagnostic purposes
 
 
February 2006 - Tuberculous spondylitis with Psoas abscesses

Monthly Cases

 

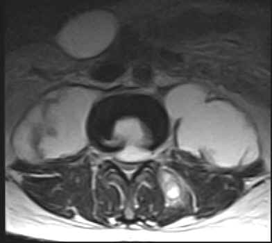
The L1, L2 and L3 vertebral bodies show hypointense areas on the T1W images and these turn hyperintense on the T2W images. The L1-L2 and L2-L3 intervertebral discs are also involved. There is an anterior epidural lesion at the L2 and L3 vertebral levels. It is hypointense with a hyperintense rim on the T1W images and hyperintense with a hypointense rim on the T2W images. This would be suggestive of an abscess. Slight prevertebral soft tissue extension is noted. The psoas muscles are bulky bilaterally and show presence of abscesses. A similar lesion is noted within the left paraspinal muscles.

On MRI:

·                     There is replacement of the normal marrow by inflammatory tissue (with hyperemia, edema and pus) and this is usually hypointense on the T1W images and turns hyperintense on the T2W images. It may be found in the subchondral region or may be seen as a more diffuse involvement. The sagittal images may show it to be a disc centered process. Contrast enhancement is useful in those who have an inhomogeneous marrow pattern and is of marginal value in those with fatty vertebral marrow. Fat saturation techniques help. Typically the hyperemic and osteomyelitic bone enhances. Skip lesions  may be seen with multivertebral involvement and relative sparing of the intervertebral discs. Involvement of the posterior elements is fairly common.

·                     In people over thirty years an intranuclear cleft (hypointense linear signal on the T2W images) is noted within the centre of the disc. The loss of this cleft on T2W images may suggest early discitis (especially when the cleft is well visualized within the other discs). The disc may be decreased in height and hyperintense on the T2W images. Occasionally an enlarged edematous disc may be encountered. Adjacent marrow signal changes and erosion of the cortical endplates may be seen. The involved disc has a very variable pattern of enhancement. Initially thin central linear or thick focal enhancement conforming to the signal alteration on the T2W images may be seen. Thin or thick marginal disc enhancement may be noted. Occasionally the disc enhances inspite of there being no signal alteration.

·                     Tuberculosis tends to involve the soft tissues commonly with abscess formation. Large paravertebral or psoas abscesses (calcifications may be seen) are commonly involved. These may be out of proportion to the degree of involvement of the vertebra or disc. Abscesses may also be seen in the paraspinal region and epidural space. The abscesses are usually located ventrally in the cervical and lumbar spine and posteriorly in the dorsal spine. The leptomeninges may be involved. Intraosseus abscesses may be seen. The abscesses are invariably seen to have a centre which is isointense to hypointense to normal muscle with a slightly hyperintense rim on the T1W images. On the T2W images the centre is hyperintense and the rim hypointense. Contrast enhancement of the rim is noted. These lesions usually yield drainable pus. It may be difficult to distinguish phlegmon (inflammatory mass of granulation tissue) from an abscess. Phlegmon usually shows diffuse contrast enhancement. This inflammatory tissue may tunnel beneath the paraspinous ligaments.

·                     The end-stage shows narrowing of the disc space or partial or complete obliteration with fusion of the vertebral bodies. The soft tissue components usually regress. The vertebral body may show central or anterior wedging with gibbus formation. Hyperintense signal on the T1W images may reflect the presence of fatty changes or yellow marrow, the result of healing. Sclerotic changes (hypointense) may be seen. 


Copyright © 2008 Scanris, LLC.  All rights reserved
Terms and Conditions | Privacy Statement