Definition : teleradiology
Main Entry: tele•ra•di•ol•o•gy
Pronunciation: "tel-&-"rAd-E-'äl-&-jE
Function: noun
Inflected Form: plural -gies
: radiology concerned with the transmission of digitized medical images (as X rays, CT, MRI scans and sonograms) over electronic networks and with the interpretation of the transmitted images for diagnostic purposes
 
 
January 2006 - Kienböck's Disease

Monthly Cases

 
 

 

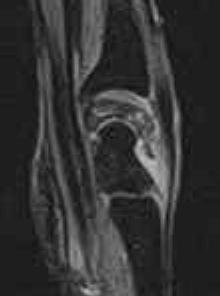
The lunate carpal bone appears hypointense on the T1 Weighted images and heterogeneously hyperintense on the GRASS images. There is slight decrease in the height of the lunate bone with slight elongation of the lunate in it's antero-posterior dimension. Fluid is noted in the region of the scaphoid and trapezium bones. 

Lunate osteonecrosis (Kienböck's disease) may present with wrist pain and/or loss of grip strength. It is usually seen in men between the ages of 18 and 40 years. 95% of patients have a history of heavy manual labor.

 Staging and MRI Findings:

 Stage I:

Conventional radiographs are usually normal in stage I However, a fracture line or compression fracture may be present. Bone scintigraphy though sensitive, is nonspecific. On MRI, it is possible to characterize the extent of necrosis and the morphology of marrow involvement and of the lunate cortical surfaces, including articular cartilage. Focal or diffuse hypointensities are seen on T1W images within the marrow. On T2W or STIR images, the lunate may show areas of increased signal intensity (hyperemia or vascular dilation). Unaffected marrow is isointense to normal marrow. Joint effusions or localized synovitis is hyperintense on T2W, GRASS or STIR images. Intravenous gadolinium with fat-suppression displays hyperemic bone with increased signal intensity.

Stage II:

Conventional radiographs show sclerosis of the lunate which corresponds to the hypointense areas on T1W images. Edema, granulation tissue and areas of preserved vascularity are hyperintense on T2W images. Usually, the morphology and size are preserved. However, a decrease in the height of the radial aspect of the lunate may be seen in late stage II disease.

Stage III:

There is a distal-to-proximal collapse in the coronal plane and elongation in the sagittal plane with proximal migration of the capitate. The absence or presence of scapho-lunate dissociation with rotatory subluxation of the scaphoid divides patients into IIIA and IIIB, respectively. Rotation of the scaphoid may be accompanied by ulnar deviation of the triquetrum. Articular cartilage degeneration may be seen. Carpal fusions may occur.

Stage IV:

There is degenerative arthrosis of the lunate and carpus. Hyperintense areas are not seen on the T2W, GRASS or STIR images and lunate collapse can be seen in all planes. Splaying of the volar and dorsal poles of the lunate is accompanied by extrinsic effacement and convex bowing of the flexor tendons in the sagittal plane. This may contribute to symptoms of carpal tunnel syndrome, especially if there is associated proximal migration of the flexor retinaculum with wrist shortening. Fragmented portions of the lunate usually demonstrate low signal intensity on T1W and GRASS images. Synovitis and radiocarpal effusion may be seen. Pannus tissue is low to intermediate in signal intensity on T1W and T2W images and enhances with gadolinium intravenous contrast. There may be wrist arthrodesis.  

Copyright © 2008 Scanris, LLC.  All rights reserved
Terms and Conditions | Privacy Statement