Definition : teleradiology
Main Entry: tele•ra•di•ol•o•gy
Pronunciation: "tel-&-"rAd-E-'äl-&-jE
Function: noun
Inflected Form: plural -gies
: radiology concerned with the transmission of digitized medical images (as X rays, CT, MRI scans and sonograms) over electronic networks and with the interpretation of the transmitted images for diagnostic purposes
 
 
June 2005 - Motor Neuron Disease

Monthly Cases

 

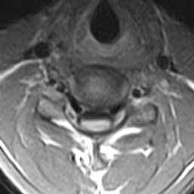
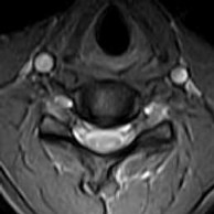
Motor Neuron Disease (MND) is a disorder that involves the upper and lower motor neurons. Patients usually present with weakness in the extremities, often with pain. Hyperreflexia, fasciculations and muscular atrophy may also be seen. Sensation usually remains unaffected. Weakness progresses to involve the rest of the body. Death usually occurs two to three years after onset of symptoms (mostly due to respiratory failure).

  • There is a loss of the normal ventral bulge (flattened) of the cervical spinal cord, more so to the right over the C5 to C7 levels. Hyperintense signal, best appreciated on the GRASS axial images is seen within the cervical spinal cord, ventrally (anterior horn cells) over these levels.

Copyright © 2008 Scanris, LLC.  All rights reserved
Terms and Conditions | Privacy Statement