Definition : teleradiology
Main Entry: tele•ra•di•ol•o•gy
Pronunciation: "tel-&-"rAd-E-'äl-&-jE
Function: noun
Inflected Form: plural -gies
: radiology concerned with the transmission of digitized medical images (as X rays, CT, MRI scans and sonograms) over electronic networks and with the interpretation of the transmitted images for diagnostic purposes
 
 
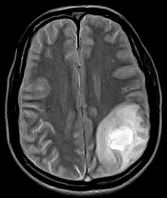
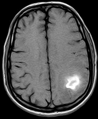
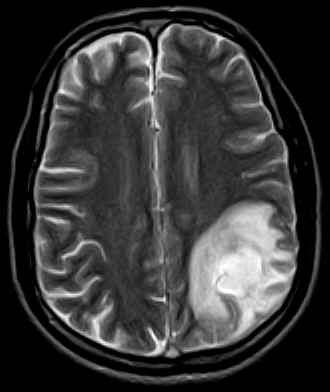
November 2005 - Venous Infarct

Monthly Cases

 
 

Diffuse hypointense areas on the T1W images which turn hyperintense on the Proton & T2W images are noted in the left parietal lobe. An area which is predominantly hypointense with a hyperintense rim on all sequences is noted in this lesion (subacute blood). The lumen of the superior sagittal sinus shows a hyperintense signal (no flow on the MRV-images not available) representative of a thrombus in this case.

 On MRI:

 ·                     Diffuse distribution, not conforming to vascular territories (as seen with arterial infarcts).

·                     Hemorrhage may be present (20%).

·                     May find a lack of the normal flow void within a dural venous sinus (e.g. in the superior sagittal sinus).

·                     Gyral/Wedge shaped enhancement (32%).

·                     May see intense tentorial enhancement (collateral's/venous stasis).

·                     May see dilated transcerebral medullary veins (connecting the superficial cortical veins with the subependymal veins).

·                     In the late stage, there will be encephalomalacic changes.

  


Copyright © 2008 Scanris, LLC.  All rights reserved
Terms and Conditions | Privacy Statement