Definition : teleradiology
Main Entry: tele•ra•di•ol•o•gy
Pronunciation: "tel-&-"rAd-E-'äl-&-jE
Function: noun
Inflected Form: plural -gies
: radiology concerned with the transmission of digitized medical images (as X rays, CT, MRI scans and sonograms) over electronic networks and with the interpretation of the transmitted images for diagnostic purposes
 
 
October 2005 - Ossification of the Posterior Longitudinal Ligament (OPLL)

Monthly Cases

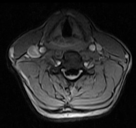
There is evidence of a markedly thickened/ossified posterior longitudinal ligament over the C3 to the C7 vertebral levels with resultant canal stenosis and cord compression. The cord shows a hyperintense signal on the T2W images and is also decreased in caliber (edema/ischemia/gliosis - myelomalacia).

OPLL may be classified into four types on the sagittal MR images.

  • Continuous - extending over several vertebral bodies.

  • Segmental - multiple separate retrovertebral lesions

  • Mixed - a combination of continuous and segmental

  • Circumscribed - confined to the retrodiscal space

OPLL may be classified into different morphological types on the axial CT or MR images.

  • Square

  • Mushroom

  • Hill

Continuous type is usually thicker, may contain bone marrow and is most frequently associated with severe cord compression. Detection is dependent upon the morphology of the process, presence or absence of bone marrow or calcium in the ligament or by it's effect upon the ventral subarachnoid space, dura and spinal cord. Hyperintense signal on the T1W images may represent fatty marrow. The hypertrophied ligament is hypointense. Intense enhancement within the ligament may be seen. T2W images help to assess the cord (myelopathy - due to direct compression on the spinal cord and anterior spinal artery).  


Copyright © 2008 Scanris, LLC.  All rights reserved
Terms and Conditions | Privacy Statement